大人の矯正|鎌倉駅徒歩2分の矯正歯科|カマクラデントフェイシャルオーソピディクス山本歯科・矯正

WEB
予約
電話
予約
トップへ戻る
大人の矯正

大人の矯正治療は、年齢に関係なく歯並びや噛み合わせを改善するための治療法です。
矯正治療は、単に見た目を改善するだけでなく、噛み合わせの不具合が原因で起こる健康問題の予防にもつながります。

大人の矯正治療について

治療のタイミング

大人になってからの矯正治療は、重度の歯周病やむし歯などの疾患がなければ、どのタイミングでも行うことができます。 治療のタイミングは歯並びが原因で日常生活や食生活への影響を感じることが増えた方や、見た目を改善したい方など患者様によって異なります。

治療中

治療期間

大人の矯正治療は、顎の成長が終わった後に行うため、治療が長期化する可能性があります。 子どもの矯正の時と比べて顎の骨が固くなっているため、歯を動かす治療が中心となり、治療期間が長くなることが一般的です。

矯正治療中の口元

治療方法

大人の矯正治療では、歯を動かすための装置を使用し、必要に応じて抜歯を行う場合もあります。

不正咬合によって起こる問題

咀嚼機能の障害

歯が正しく噛み合わず、食べ物をうまく噛み砕けなくなります。これにより、消化不良を起こすことがあります。また、噛み合わせが悪いことで片側ばかりを使って食べることになり、顎に過度の負担がかかります。長期間放置すると、顎の関節に問題を引き起こすこともあります。

むし歯の原因

歯の隙間が広がったり、歯と歯がうまく噛み合わなかったりすると、歯磨きが難しくなり、歯垢がたまりやすくなります。これが原因で、むし歯や歯周病を引き起こすリスクが高まります。また、歯磨きで磨きづらい箇所に汚れが残りやすくなります。

発音への影響

発音にも影響を与えることがあります。 特に、歯と歯の間に隙間があったり、上下の歯が正しく噛み合わなかったりすると、特定の音がうまく発音できないことがあります。言葉を発する際の舌や口の使い方に影響を与えるため、話し方に違和感を覚えることがあります。

心理的な影響

見た目や発音に自信が持てなくなり、心理的な影響を受けることがあります。 歯並びに敏感な人は、人前で笑うことや話すことを避けがちになります。 歯並びによって自己肯定感の低下や、社会的な場面で不安を感じることが増える場合があります。

健康被害

単なる見た目の問題にとどまらず、全身の健康に影響を与えることがあります。 噛み合わせが悪いことで、顎の筋肉や関節に負担がかかり、頭痛や肩こり、さらには腰痛に繋がることもあります。 また、顎関節症を引き起こすことがあり、症状が進行すると、口を開けづらくなったり、痛みを感じることがあります。

矯正治療の症例

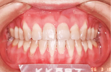
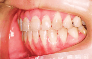
【症例1】骨格性開咬

BEFORE
Before 左 Before 正面 Before 右
AFTER
Before 左 Before 正面 Before 右
  • 年齢:24歳
  • 診断名:骨格性開咬
  • 使用装置:エッジワイズ装置
  • 費用:660,000円
  • 治療内容:非抜歯でエッジワイズ装置にて治療しました。
  • 副作用とリスク:歯を移動すると根っこが吸収されて短くなることがあります。

大人になってからでも遅くない矯正治療のメリット

見た目の改善

大人の矯正治療のメリットの一つに、見た目の改善があります。歯並びが整うことで、笑顔に自信が持てるようになり、顔の印象が大きく変わります。歯並びが悪いことで引き起こされるコンプレックスを解消でき、対人関係や職場での自信にもつながります。また、矯正治療によって顔全体のバランスが整うことで、若々しい印象を与えることができます。

見た目の改善

全身の健康

矯正治療には、全身の健康を改善する効果もあります。 歯並びや噛み合わせが悪いと、噛み合わせの力が偏って顎や筋肉に過剰な負担がかかり、頭痛や肩こり、さらには腰痛を引き起こすことがあります。矯正治療により噛み合わせが整うと、これらの体調不良の改善と同時に顎関節症などの症状も予防することができます。

全身の健康

口腔衛生の改善

歯並びが整うことで、口腔衛生の向上にもつながります。 歯が重なり合っていると、歯磨きがしにくく、歯垢や汚れが残りやすくなり、むし歯や歯周病のリスクが高まります。 矯正治療で歯並びを整えることで、歯磨きがしやすくなり、清潔な状態を保ちやすくなります。

口腔衛生の改善

当院の大人の矯正治療の特徴

Point 01

他の医院で断られてしまった方や、
思うように改善ができなかった方も対応可能

笑顔の女性

当院では、他院で「治療自体が難しい」、「もうこれ以上は良くできない」といった望んだ治療ができなかった方も豊富な実績と症例を基に、満足していただける仕上がりになるよう治療が可能です。
大人の矯正治療では抜歯を行うケースもありますが、当院は開院以来「この歯はもうダメだね」といって抜歯したことは一度もありません。
過去に治療した数千にわたる症例から、一番近いものを選び納得のゆくまでの説明責任を果たします。

Point 02

かみ合わせだけでなく全身の健康や
自律神経の統合を考えた治療

ストレッチをする女性

矯正治療は歯並びやかみ合わせのみを改善するものと思われていますが、実は歯並びは全身の健康や、自律神経にも関係しています。
実際にかみ合わせによる肩こりや頭痛、肌荒れなども矯正治療を行い改善されたケースもあります。 当院では、最初の治療計画の段階から、歯だけではなく全身の健康や自律神経の統合までを考えてサポートをしていきます。

Point 03

患者様一人一人に合わせた矯正治療

矯正器具を付けている口元

将来の美と健康のビジョンなしに矯正治療がスタートすることはありません。
従来の金属のブレースはもちろん、目立たないクリア・セラミックブラケットを使った矯正法、見えないリンガルブラケットを用いた矯正治療、上だけリンガル下はセラミックのハーフリンガル治療法での対応など患者様のお悩みやご希望に合わせてご提案させていただきます。

鎌倉で大人の矯正治療を
お考えの方は当院へ

口元を見る女性

大人の矯正治療は、見た目だけでなく健康にも多くのメリットをもたらします。
不正咬合を放置するとむし歯や顎関節症などのリスクも高まるため、少しでも歯並びでお悩みの方はご相談ください。

当院では日本歯科専門医機構に認められた矯正歯科専門医の知識と経験を活かし、歯並びでお悩みの方の全身(心と身体)のバランスを考えた噛み合わせへと導き、健康をサポートしていきます。
初めての矯正治療を考えている方だけでなく、他院で断られてしまった方や思うような改善ができなかった方にも喜んでもらえるよう、治療計画とともにどのように歯並びが変わるかご説明いたします。
当院の治療は審美性だけではなく歯並びによって日常生活や健康面での改善を心がけています。お気軽にご相談ください。