子どもの矯正|鎌倉駅徒歩2分の矯正歯科|カマクラデントフェイシャルオーソピディクス山本歯科・矯正

WEB
予約
電話
予約
トップへ戻る
子どもの矯正

小児矯正と大人の矯正の違い

小児矯正とは、成長段階にあるお子さまの歯並びや噛み合わせを改善する治療法です。
特に乳歯から永久歯に生え変わる時期は、歯並びに大きな影響を与えるため、この時期に矯正治療を始めることで、将来的な歯並びの問題を未然に防ぐことができます。
小児矯正は、顎の成長を利用した治療が可能で、成人矯正に比べて治療期間が短く、抜歯や手術を避けることができる特徴があります。
小児矯正の最大のメリットは、顎の発達が進む前に治療を開始することで、将来的に歯並びの問題が悪化するのを防ぐことができることです。

子どもの口アップ

小児矯正はいつ始めるべきか

小児矯正を始めるタイミングは、お子さまの成長段階に応じてご提案します。 成人してからの治療と比較して、歯と顎の成長が最も活発な時期であり、歯並びや噛み合わせの問題を早期に解決できる可能性が高い時期でもあります。
遅くても12歳頃までには矯正を始めることをお勧めしており、それ以降は成人矯正に近い治療が必要になる場合があります。
子どもの頃に治療を始めることで、治療期間が短くなることや、将来的に手術や抜歯を避けることができるというメリットがあります。 また、歯並びを整えることで、口の中の健康だけでなく、発音や食べ物を噛む力も改善され、日常生活にも良い影響を与えます。

親と遊ぶ子ども
 

学童期の矯正は小児矯正とどのような違いがあるか

学童期の矯正治療は、一般的に小児矯正と呼ばれる治療の一部ではありますが、治療のアプローチや目的が異なります。
小児矯正は、乳歯から永久歯に生え変わる時期に行い、顎の成長を利用して歯並びを整えることを目指します。 これに対し、学童期の矯正は、永久歯がほぼ生え揃い、顎の成長が落ち着き始める時期に行います。 このタイミングでの矯正は、主に歯並びを整えることや、不正咬合を改善することを目的とします。
学童期の矯正治療の特徴としては、既に生えている永久歯に対する調整が主であることが挙げられます。 矯正を行うことで、歯並びや噛み合わせを本格的に整えることができ、将来の歯科的問題を予防することが可能になります。 学童期の矯正は、成長のピークを過ぎているため、歯並びをしっかり整えるために、より精密で長期的な治療が必要となることが特徴です。

笑顔で話す子ども

子どもの矯正治療で大切なこと

大切な永久歯を守る準備

子どもの矯正治療では、大切な永久歯を守るための準備が不可欠です。
永久歯が生え揃う前に矯正を始めることで、歯の生え方や顎の成長を適切に誘導し、将来的な歯並びの乱れを防ぐことができます。 矯正治療は、単に歯並びを整えるだけでなく、健康な永久歯の位置を決める大切な過程でもあります。
早期に治療を開始することで、永久歯の生え方を正常に誘導し、将来的な歯科的問題を未然に防ぐことができます。

顎の成長をサポート

矯正治療の最大のポイントは、顎の成長をサポートすることです。
お子さまの顎は、まだ発育が続いているため、顎の成長に合わせて歯並びを調整することができます。 このため、小児矯正を始めることが、顎の発育をうまく誘導し、歯並びや噛み合わせが正常に整いやすくなる大きなメリットです。
特に、成長期に行う矯正は、顎の大きさや形に合わせて歯並びを調整できるため、将来的に不正咬合を防ぐためにも非常に効果的です。 顎の成長をうまく活用することで、治療が効率的に進み、治療期間の短縮や治療費を抑えることができます。

よくある不正咬合

上顎前突(出っ歯)

上顎前突は、上の歯が前に突き出ている状態を指します。出っ歯の原因としては、遺伝や舌の位置、習慣(指しゃぶりなど)が影響することがあります。
放置すると、噛む力が均等に分散されず、歯や顎に負担がかかるため、食事などの日常生活だけではなく、むし歯や歯が折れるリスクが高まります。

上顎前突(出っ歯)

下顎前突(受け口)

矯正治療には、全身の健康を改善する効果もあります。
歯並びや噛み合わせが悪いと、噛み合わせの力が偏って顎や筋肉に過剰な負担がかかり、頭痛や肩こり、さらには腰痛を引き起こすことがあります。矯正治療により噛み合わせが整うと、これらの体調不良の改善と同時に顎関節症などの症状も予防することができます。

下顎前突(受け口)

叢生(そうせい)

叢生(そうせい)は、歯が乱雑に生えている状態で、歯が重なったり、隙間ができたりします。
叢生は歯が生えるスペースが足りない場合や、顎の大きさに対して歯の数が多い場合に発生します。 叢生は見た目が気になるだけでなく、歯磨きが難しく、むし歯や歯周病の原因にもなります。

叢生(そうせい)

開咬(かいこう)

開咬(かいこう)は、上下の歯が噛み合わず、前歯が開いた状態のことを指します。
開咬は、舌の癖や指しゃぶりが原因で発生することがあります。 前歯で食べ物をうまく噛み切れなかったり、口呼吸の原因となることがあります。

開咬(かいこう)

すきっ歯

すきっ歯は、歯と歯の間に隙間が空いている状態です。これには、遺伝的要因や過剰な歯の数などが関与することがあります。
見た目が気になるだけでなく、歯の隙間が広がることで、歯磨きが不十分になりやすく、歯の健康に悪影響を与えることがあります。

すきっ歯

過蓋咬合(かがいこうごう)

過蓋咬合(かがいこうごう)は、上の歯が下の歯を過度に覆っている状態です。
この状態では、上下の歯が正しく噛み合わないため、噛む力が均等にかからず、顎に負担がかかることがあります。 過蓋咬合は発音や食事に影響を与える場合があります。

過蓋咬合(かがいこうごう)

矯正治療の症例

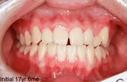
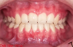
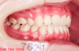
【症例1】叢生

BEFORE
Before 左 Before 正面 Before 右
AFTER
Before 左 Before 正面 Before 右
  • 性別:女性
  • 年齢:17歳
  • 診断名:叢生
  • 使用装置:エッジワイズ装置
  • 費用:600,000円
  • 治療内容:抜歯有り。エッジワイズ装置にて治療しました。
  • 副作用とリスク:なし

当院の子どもの矯正の特徴

Point 01

他院で断られた方の治療も可能

笑顔の女性

「あまり変化が見られなかった」や「付けている装置が合わなかった」と、他院で望んだ治療ができなかった場合でも、完璧な歯並び・噛み合わせを実現した実績があります。
当院では、歯並びだけで判断せず、噛み合わせ・顎の成長・歯の並ぶスペースなどを総合的に見て、どこに課題があるのかを確認し、そのうえで、現実的なゴール設定と治療の選択肢をご説明し、納得できる形で治療を進められるようサポートします。 それぞれの悩みに本音でお答えしますので、遠慮なく安心してご相談ください。

Point 02

見た目だけでなく、
全身の神経や筋肉のバランスも考慮した治療

ストレッチをする女性

歯並びや噛み合わせは、お口の中だけの問題ではありません。 噛み方の偏りや顎の動きのクセは、頬・口まわりの筋肉の使い方、姿勢や呼吸の状態などにもつながることがあります。
当院では、お子さまが将来的にいい歯並びで、全身の神経・筋肉のバランスもよく、内臓機能も十全で、よろこびをもって食事ができるように治療を進めていきます。

Point 03

数千にいたる症例実績

矯正器具を付けている口元

矯正治療は、お子さまの成長や歯の生え変わりによって経過が変わるため、経験の蓄積が治療計画の精度につながります。
当院では、これまでの数千にわたる症例実績をもとに、似たケースの経過や注意点も踏まえながら、治療の見通しをわかりやすくお伝えします。

鎌倉で子どもの矯正を
お考えの方は当院へ

口を開ける子供

矯正治療は子どもの頃から治療を開始することで健康面や顔の形や大きさなど将来的に大きく改善することができます。
当院は、子どもの成長発育のメカニズムを知り尽くした矯正歯科専門医の知識と経験を活かし、歯並びだけでなく全身(心と身体)の内で噛み合わせの位置付けをサポートします。

初めての矯正治療を考えている方だけでなく、他院で断られてしまった方や思うような改善ができなかった方にも喜んでもらえるよう、治療計画とともにどのように歯並びが変わるのかご説明いたします。お気軽にご相談ください。