叢生(歯のガタガタ)|鎌倉駅徒歩2分の矯正歯科|カマクラデントフェイシャルオーソピディクス山本歯科・矯正

WEB
予約
電話
予約
トップへ戻る
叢生(歯のガタガタ)

「鏡を見るたび、歯並びが気になる」「食べ物が詰まりやすい」……。そんな歯並びのお悩みはありませんか?
実は、日本人に最も多い歯並びのトラブルの一つが、歯がガタガタに生えている「叢生(そうせい)」という状態です。当院では、見た目の美しさはもちろん、一生自分の歯でおいしく食べるための噛み合わせを大切にしたワイヤー矯正をご提案しています。

こんなお悩みありませんか?

  • 笑ったときに歯並びが気になる
  • 歯ブラシが届きにくく、磨き残しが気になる
  • 他の歯科医院で「マウスピース矯正では難しい」と言われた
  • 短期間で、かつ確実にきれいな歯並びに整えたい
  • よく口内炎ができる

叢生とは?

叢生とは、主に歯が並ぶスペースが足りないことで、歯が前後に重なって生えている状態のことです。
一般的には「ガタガタ・デコボコした歯並び」や「乱杭歯(らんぐいば)」、「ガチャ歯」と言われることもあります。また、犬歯などが歯列から飛び出している「八重歯」も、実はこの叢生に含まれます。
歯が並ぶスペースが不足する原因としては、アゴのサイズが小さいことや、一つひとつの歯が大きいことなどが挙げられます。こうした叢生は、日本やアメリカのような多民族国家(または多様なルーツを持つ人々が暮らす国)において多く見られる傾向にあり、その需要の高さゆえに、これらの国々では矯正歯科医療が大きく発展してきました。

歯がガタガタになる原因

アゴや歯の大きさ

アゴが小さい、または歯が大きすぎると、並ぶスペースが足りず歯列が乱れます。柔らかいものばかり食べる習慣などで、アゴが十分に成長しないことも原因の一つです。

遺伝

アゴの形や歯の大きさは、親から引き継がれることが多いです。生まれつきアゴに対して歯が大きすぎる場合などは、歯がガタガタに並びやすくなります。

永久歯の生え変わりが
うまくいかなかった

乳歯をむし歯などで早く失うと、永久歯の生える場所や順番が狂う原因になります。将来の歯並びを守るためには、乳歯の頃からしっかり治療しておくことが大切です。

癖や習慣

口呼吸や指しゃぶり、頬杖をつくといった日常の癖が、少しずつ歯を動かしてしまいます。こうした何気ない習慣も、歯がガタガタになる原因の一つです。

叢生を放置するリスク

むし歯や歯周病になりやすい

歯が重なると磨き残しが増え、歯垢や歯石が溜まりやすくなります。放置するとむし歯や歯周病で歯を失う恐れがあるほか、お口が不衛生な状態になることで、口臭の原因にもなります。

アゴや他の歯に負担がかかる

噛み合わせが悪いと特定の歯だけに無理な力がかかり、歯が欠けたり寿命を縮めたりします。また、アゴの軟骨がすり減ってアゴ関節症になると、食事や会話に支障が出る場合もあります。

うまく噛めない、発音できない

食べ物を十分に噛み砕けず胃腸に負担がかかったり、歯の隙間から空気が漏れて発音がしにくくなったりします。舌の発達を妨げるなど、日常生活に影響を及ぼすこともあります。

見た目のコンプレックス

歯並びが気になり、口元を隠して笑うなど心理的なストレスを感じる方は多いです。整った歯並びは、外見の印象を良くするだけでなく、自分への自信や前向きな気持ちにもつながります。

叢生の矯正歯科治療

最近はマウスピース矯正も人気ですが、当院がワイヤー矯正にこだわるのには理由があります。

Point 01

ミクロン単位の細やかな調整が可能

ミクロン単位の細やかな調整が可能

ワイヤー矯正は、歯を「ねじる」「高さを変える」といった複雑な動きが得意です。歯科医師が毎回、お口の状態に合わせてワイヤーを細かく調整するため、丁寧な仕上がりが期待できます。

Point 02

複雑に重なり合った歯並びでも対応できる

複雑に重なり合った歯並びでも対応できる

歯並びが複雑に重なり合っていると、マウスピースでは時間がかかったり、思うように動かなかったりすることがあります。ワイヤー矯正なら、どんなに複雑な歯並びでも計画通りに着実に進めることが可能です。

Point 03

抜かないための選択肢を増やす

抜かないための選択肢を増やす

ワイヤーの力をうまくコントロールすることで、できる限り歯を抜かずに済むようなスペースの確保を目指します。

叢生の症例

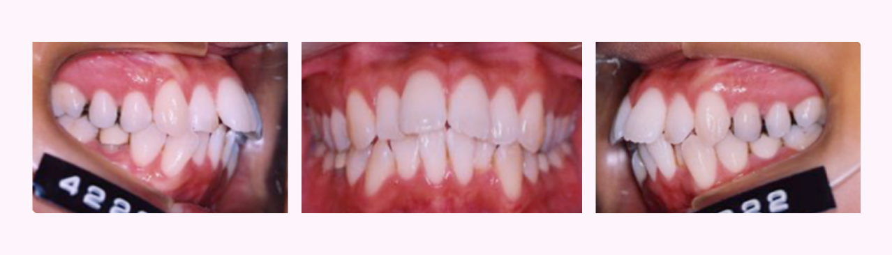
【症例1】叢生

BEFORE
叢生の症例1のBefore
AFTER
叢生の症例1のAfter
  • 主訴:歯並びが悪い
  • 診断名:右上側切歯先天欠如を伴う叢生・成人症例
  • 年齢:40歳
  • 治療期間:2年6ヶ月
  • 使用装置:セラミックブラケットにホワイトワイヤーのコスメティック・アプライアンス
  • 費用:840,000円
  • 治療内容:抜歯し、ガタガタだった歯並びを整えました。
  • 副作用とリスク:所見なし

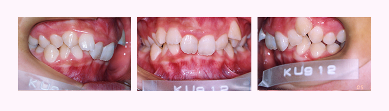
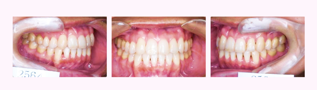
【症例2】叢生

BEFORE
叢生の症例2のBefore
AFTER
叢生の症例2のAfter
  • 主訴:八重歯
  • 診断名:叢生を伴う過蓋咬合・学童期症例
  • 年齢:15歳
  • 治療期間:1年10ヶ月
  • 使用装置:エッジワイズアプライアンス
  • 費用:660,000円
  • 治療内容:非抜歯で、ガタガタだった歯並びを整えました。
  • 副作用とリスク:所見なし

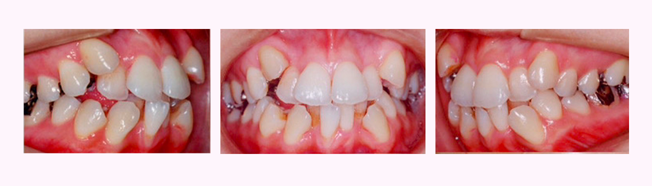
【症例3】叢生

BEFORE
叢生の症例3のBefore
AFTER
叢生の症例3のAfter
  • 診断名:叢生
  • 性別:女性
  • 治療期間:2年4ヵ月
  • 使用装置:ハーフリンガル装置
  • 費用:1,100,000円
  • 治療内容:抜歯して、ガタガタだった歯並びを整えました。
  • 副作用とリスク:所見なし

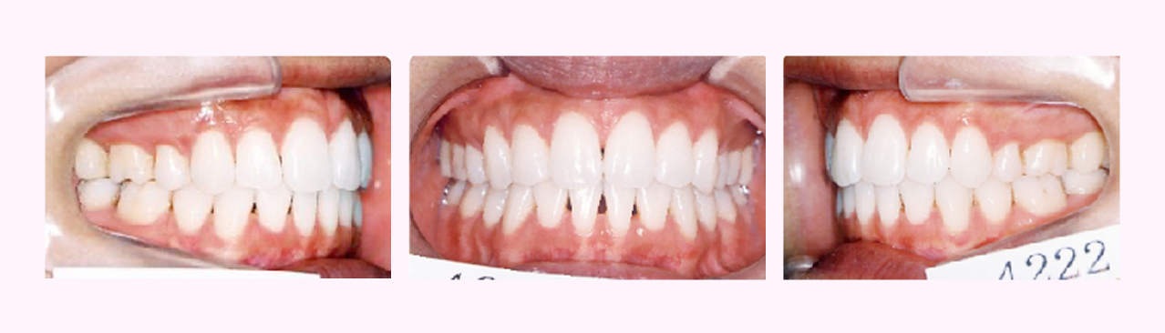
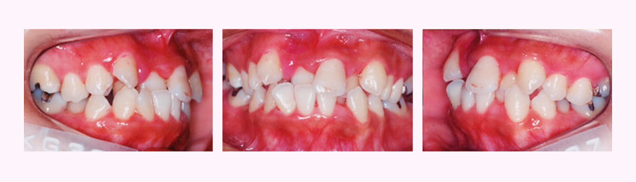
【症例4】叢生

BEFORE
叢生の症例4のBefore
AFTER
叢生の症例4のAfter
  • 診断名:叢生
  • 性別:女性
  • 年齢:22歳
  • 治療期間:1年6カ月
  • 費用:660,000円
  • 治療内容:抜歯して、ガタガタだった歯並びを整えました。
  • 副作用とリスク:所見なし

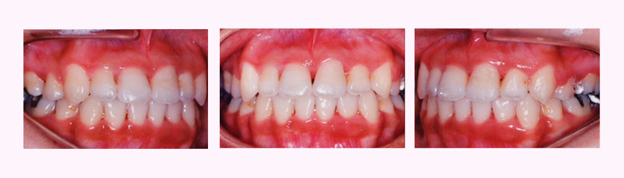
【症例5】叢生

BEFORE
叢生の症例5のBefore
AFTER
叢生の症例5のAfter
  • 診断名:叢生
  • 性別:女性
  • 年齢:27歳
  • 治療期間:1年8カ月
  • 費用:660,000円
  • 治療内容:ガタガタだった歯並びを整えました。
  • 副作用とリスク:所見なし

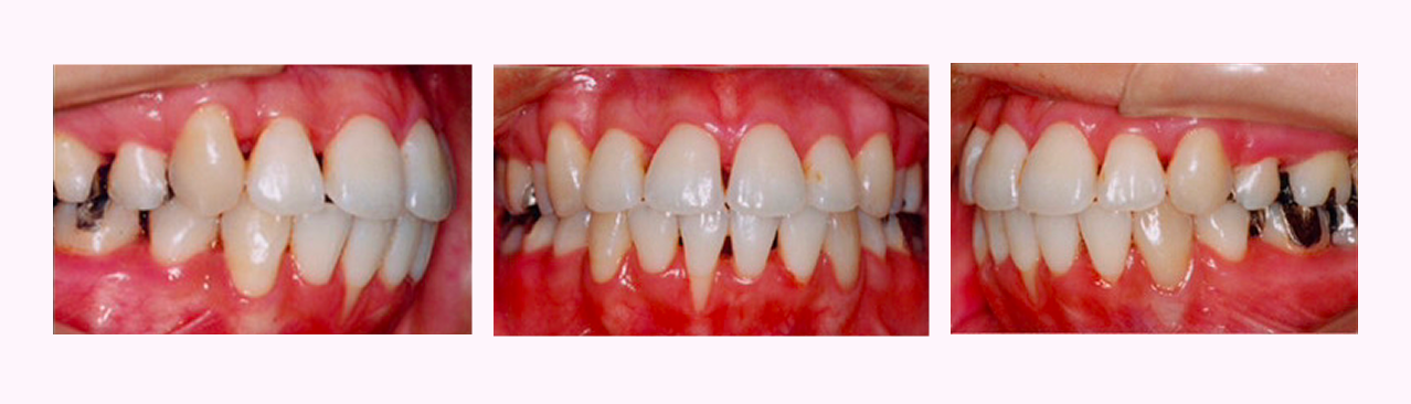
【症例6】叢生

BEFORE
叢生の症例6のBefore
AFTER
叢生の症例6のAfter
  • 主訴:歯並びが悪い
  • 診断名:叢生成人症例
  • 性別:女性
  • 年齢:27歳
  • 使用装置:エッジワイズアプライアンス
  • 費用:840,000円
  • 治療期間:2年4カ月
  • 治療内容:上下左右第一小臼歯を抜歯し、ガタガタだった歯並びを整えました。矯正治療終了後にホワイトニングの施術も行いました。
  • 副作用とリスク:所見なし