鎌倉駅徒歩2分の矯正歯科|カマクラデントフェイシャルオーソピディクス山本歯科・矯正

WEB
予約
電話
予約
トップへ戻る

鎌倉で始める

「妥協のない矯正治療」

は美しさの先にある人生の質の向上をゴールに設定します

Message

鎌倉市にある矯正歯科
カマクラデントフェイシャルオーソピディクス
山本歯科・矯正

当院では「単なる見た目」ではなく、全身の健康を見据えた矯正治療を行っています。

3,700時間に及ぶ専門教育を修了した矯正歯科専門医として、お一人おひとりの成長に合わせた「医学的に正しい治療方法」を何よりも大切にしています。

不安を「歓喜」へ、満足を「一生の健康」へ。 流行に流されない本物の治療を通じて、皆様が心から笑える豊かな人生をサポートいたします。

診察の様子 外観
Access & Hours

アクセスと診療時間

INFORMATION

  • JR 鎌倉駅 より徒歩 2
  • 土曜・日曜 も診療
  • 顎関節 に考慮した治療

MEDICAL HOURS

第2・4週(偶数週)

診療時間 日・祝
11:00 〜 13:30
15:00 〜 18:30

※最終受付時間は17:30です

【休診日】月曜・金曜・日曜・祝日

第1・3・5週(奇数週)

診療時間 日・祝
11:00 〜 13:30
15:00 〜 18:30

※最終受付時間は17:30です(日曜日は受付は13:00まで、診療は14:30まで)

【休診日】火曜・水曜・木曜・日曜(午後)・祝日(午後)

Feature

鎌倉市にある当院の特徴

なるべく
抜歯をしない矯正治療

「健康な歯を抜きたくない」という願いは当然のものです。当院では、患者様の大切な歯をできる限り残す「抜歯しない矯正」を最優先に検討しています。
最新の技術や装置を活用し、歯列を横に広げたり奥歯を後ろへ移動させたりすることで、抜歯を避けながら美しい歯並びを目指します。お顔立ちのバランスも考慮し、無理のない治療計画をご提案します。「抜歯が必要」と診断された方も、まずは一度当院へご相談ください。

やり直し矯正も対応

「矯正したのに後戻りしてしまった」「仕上がりがイメージと違った」という方のための、整え直しプランをご用意しています。矯正後のトラブルは、原因を正確に特定することが必要です。当院では、後戻りの原因を分析し、少ない負担で効率的に整え直す治療をご提案します。

矯正歯科専門医が在籍

当院には、日本歯科専門医機構認定の矯正歯科専門医が在籍しています。日本歯科専門医機構は、厚生労働省の方針に基づき専門医制度を認定する機関であり、一定の基準を満たした歯科医師に専門医資格が認定されます。初年度の認定者は全国でわずか201名。当院の歯科医師はその一人として認められました。専門的な研鑽を積んだ専門医が、科学的根拠に基づいた質の高い矯正治療をご提供いたします。

こんな歯並びありませんか?

当院に寄せられる、
代表的なお悩みをご紹介します

  • チェック

    全体の歯並びを整えたい

  • チェック

    他院で矯正に失敗した

  • チェック

    抜歯をしなければいけないと言われた

  • 受け口

    受け口

  • 出っ歯

    出っ歯

  • すきっ歯

    すきっ歯

  • 噛み合わせが深い

    噛み合わせが深い

  • 前歯が閉じない

    前歯が閉じない

  • デコボコの歯

    デコボコの歯

Clinical Cases

矯正歯科専門医による
矯正治療の症例

大人の矯正治療の症例

「もっと早くやればよかった」という声が多い、
大人の矯正のビフォーアフター

エッジワイズ装置

Before Before
After After

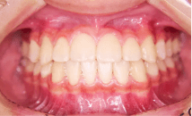
24歳、骨格性開咬の症例です。エッジワイズ装置により歯列を緻密に整え、正しい噛み合わせとバランスの良い口元を実現しました。

エッジワイズ装置

Before Before
After After

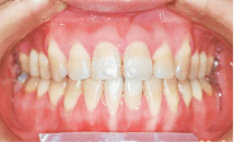
46歳、 受け口の症例です。下顎歯列がきれいであったことと低位舌による後戻りを防ぐ意味から非抜歯矯正治療を行ないました。

子どもの矯正治療の症例

「抜歯のリスクを減らせた」
今だからできる、骨格からのアプローチ

エッジワイズ装置

Before Before
After After

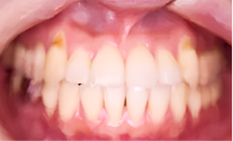
9歳、上顎前突(出っ歯)の症例です。
当院オリジナルの取り外しの効くアクチベーター装置を用い、骨格症状を改善。夜間のみ10ヶ月の使用により、骨格からの問題を改善し、その後エッジワイズ装置で機能的な噛み合わせと美しい歯並びを実現しました。

エッジワイズ装置

Before Before
After After

10歳、受け口の症例です。エッジワイズ装置を用い、顎の成長を利用しつつ下顎前突症を治療。美しい歯並びを実現しました。

Why Choose Us

鎌倉市の患者様に
選ばれる理由

治療する医師

他医院で治療を断られた方も対応できる技術

「もう治らない」と他院で断られた方も、諦める前にご相談ください。日本歯科専門医機構認定の矯正歯科専門医が、数千もの症例経験に基づき、難症例にも独自の技術で対応します。見た目の美しさはもちろん、噛み合わせの改善による全身の健康まで見据え、患者様にとって「価値のある矯正治療」をご提案いたします。

口の写真
  • 数千の症例経験に基づいた難症例への対応
  • 見た目と全身の健康を両立する矯正
  • 噛み合わせを正しく調整
セファロ

顎や歯ぐきのお悩みにも対応する専門的な治療

美しい歯並びの土台となるのは、健康な歯ぐきと正しい顎の機能です。当院では「デントフェイシャルオーソピディクス(顎顔面整形歯科)」の理論に基づき、顎関節症や歯周組織のお悩みにも専門的にアプローチします。単に歯を並べるだけでなく、お口全体の健康と機能美を追求し、一生涯続く快適な噛み合わせをサポートいたします。

セファロ
  • セファロ分析による精密なシミュレーション
  • 顎関節症の改善を目指した治療
  • 専門衛生士による徹底した歯周病予防
Orthodontics for Children and Adults

鎌倉市にある当院の
世代別矯正治療

正しい歯並びで、歯の負担を減らし、一生続く健康と美しい笑顔を。

一人ひとりのライフステージに寄り添う矯正治療をお届けします。

大人の矯正治療

大人の矯正歯科

美しさと健康を、
これからの人生の自信に変える

大人笑顔

                  大人になってからの矯正は、見た目の改善だけでなく、歯を磨きやすくして、むし歯や歯周病を防ぐ予防の側面もあります。ライフスタイルに合わせた目立ちにくい装置で、将来を見据えた健康で美しい口元を叶えましょう。

子どもの矯正治療

子どもの矯正歯科

一生の宝物になる、
健やかな成長の土台づくり

子供の笑顔

子どもの矯正は、単に歯並びを整えるだけでなく、顎の正常な成長を促し、将来の抜歯リスクを減らす「土台作り」の側面も。成長期に合わせた適切なアプローチで、一生涯続く正しい噛み合わせと健やかな笑顔を育てましょう。

Director

院長紹介

院長 山本 一宏

Yamamoto Kazuhiro

歯並びの美しさは、見た目の印象だけでなく、心身の健康にも深く関わっています。私たちが大切にしているのは、単に歯を綺麗に並べることではなく、数十年先までご自身の歯で美味しく食事ができ、自信を持って笑える毎日をサポートすることです。
矯正治療に対する不安や疑問に誠実に向き合い、納得のいく最善の治療をご提案します。お口のお悩みは、どんな小さなことでもお気軽にご相談ください。

院長の山本一宏

歯並びの美しさは、見た目の印象だけでなく、心身の健康にも深く関わっています。私たちが大切にしているのは、単に歯を綺麗に並べることではなく、数十年先までご自身の歯で美味しく食事ができ、自信を持って笑える毎日をサポートすることです。
矯正治療に対する不安や疑問に誠実に向き合い、納得のいく最善の治療をご提案します。お口のお悩みは、どんな小さなことでもお気軽にご相談ください。

所属学会

  • 日本矯正歯科学会
  • 日本顎関節学会
  • 日本歯科矯正専門医学会(JSO)会員
  • 日本矯正歯科協会(JIO)正会員

所属学会(海外)

  • American Dental Association
  • American Association of Orthodontists
  • World Federation of Orthodontists, Member

資格

  • 日本歯科専門医機構認定 矯正歯科専門医
  • 日本矯正歯科学会認定医
  • 日本歯科矯正専門医認定機構(JBO)認定矯正歯科医
  • 日本成人矯正歯科学会認定医
Contact

お問い合わせ

【 ご予約に関するお願い 】

  • 電話の受付時間は、診療時間と同じスケジュールとなっております。
  • 診療中はお電話がつながりにくい場合がございます。Webからの早期予約(1ヶ月前〜)にご協力をお願いいたします。
  • 長時間を要する治療(矯正相談・資料採取とコンピュータ診断・セカンドオピニオン・矯正装置装着・矯正装置撤去など)につきましては、他の患者様と同時に診療することができないため、お電話にてお問い合わせくださいますようお願いいたします。
Treatment Step

治療の流れ

STEP 1
STEP 1

初診

まずは歯並びに関するお悩みや、治療のゴールに対する理想を詳しくお伺いします。その上で歯科医師がお口の中を拝見し、現在の噛み合わせや歯の状態、顎の動きなどを簡単に確認します。

STEP 2
STEP 2

コンサル

検査前の概算をもとに、抜歯の有無、治療期間、痛みへの対策、費用面を具体的に解説します。不安や疑問を解消し、治療をスタートするかどうかを検討いただくステップです。

STEP 3
STEP 3

意思決定した後に資料採取

治療を決断されたら、精密検査を行います。顔貌・口腔内写真、レントゲン撮影、3Dスキャナーによる歯型採取などを行い、現状を詳細に数値化します。

STEP 4
STEP 4

治療計画

精密検査の結果を分析し、最適な治療計画をご提案します。歯を動かすプロセスや最終的な仕上がりをシミュレーションで共有します。ゴールを明確にイメージしていただくことで、納得して治療できます。

STEP 5
STEP 5

下準備

装置をつける前に、むし歯や歯周病の治療、クリーニングを行います。また、矯正期間中にむし歯を作らないための歯磨き指導も行います。抜歯が必要な場合は、この段階で計画的に処置を行い、矯正の土台を整えます。

STEP 6
STEP 6

治療開始

いよいよ矯正装置を装着します。装着後は定期的に通院いただき、歯の動きに合わせて装置の調整やメンテナンスを行います。理想の歯並びに向かって、二人三脚で一歩ずつ着実に進めていきましょう。

Payment

支払方法について

お支払いは以下の方法から
お選びいただけます。

現金

現金

クレジットカード

クレジット
カード

デンタルローン

デンタル
ローン

改正個人情報保護法に
纏わる同意書について

患者様の個人情報を守るため、当院では最新の法令に基づいた適切な管理を行っています。
個人情報の取り扱い方針については、詳細ページをご覧ください。