MrKishiriToruTBIAbatar|鎌倉駅徒歩2分の矯正歯科|カマクラデントフェイシャルオーソピディクス山本歯科・矯正

WEB
予約
電話
予約
トップへ戻る
         コラム一覧
  • アライナー矯正
  • インビザライン
  • カマクラデントフェイシャルオーソピディクス・山本歯科・矯正
  • セファロ
  • マウスピース型矯正治療
  • マウスピース矯正
  • 子どもの矯正治療
  • 小児矯正治療
  • 日本歯科専門医機構認定矯正歯科専門医
  • 歯の矯正・矯正治療
  • 歯列矯正
  • 矯正歯科
  • 矯正歯科専門医
  • 矯正歯科鎌倉 dentofaco
  • 鎌倉
  • 院長ブログ
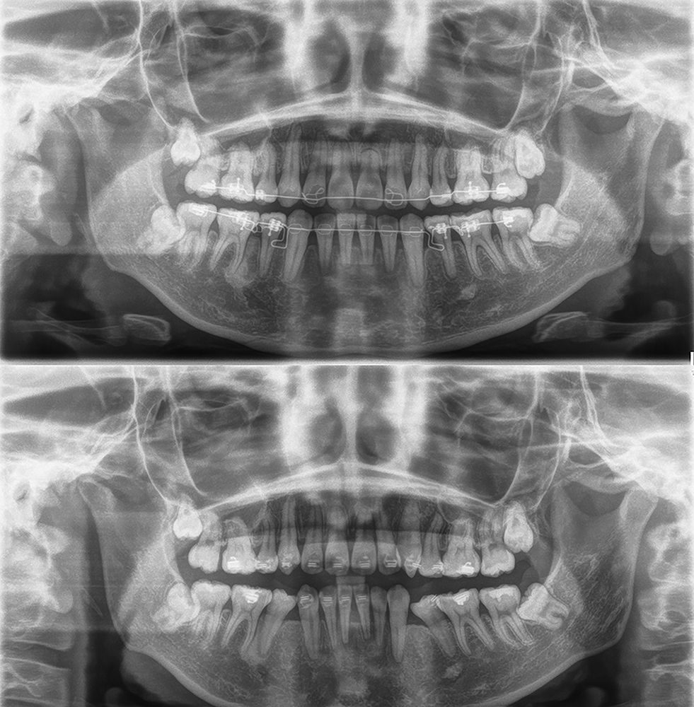
「カマクラデントフェイシャルオーソピディクスオリジナルの取り外しの効くミニマムアクチベータの治療結果」

「カマクラデントフェイシャルオーソピディクスオリジナルの取り外しの効くミニマムアクチベータの治療結果」

「子どもの矯正歯科」 「日本歯科専門医機構認定矯正歯科専門医  山本一宏の blog 」 日本歯科専…

詳しく読む
  • Uncategorized
  • アライナー矯正
  • インビザライン
  • カマクラデントフェイシャルオーソピディクス・山本歯科・矯正
  • セファロ
  • マウスピース型矯正治療
  • マウスピース矯正
  • 子どもの矯正治療
  • 小児矯正治療
  • 日本歯科専門医機構認定矯正歯科専門医
  • 歯の矯正・矯正治療
  • 歯列矯正
  • 矯正歯科
  • 矯正歯科専門医
  • 矯正歯科鎌倉 dentofaco
  • 鎌倉
  • 院長ブログ
「カマクラデントフェイシャルオーソピディクス オリジナルの取り外しの効くミニマムアクチベータの整形効果」

「カマクラデントフェイシャルオーソピディクス オリジナルの取り外しの効くミニマムアクチベータの整形効果」

矯正診断において 大きなウェイトを占めるセファロ いい噛み合わせ集団と比較して 不正咬合の問題が 歯…

詳しく読む
  • Uncategorized
  • アライナー矯正
  • インビザライン
  • カマクラデントフェイシャルオーソピディクス・山本歯科・矯正
  • セファロ
  • マウスピース型矯正治療
  • マウスピース矯正
  • 子どもの矯正治療
  • 小児矯正治療
  • 日本歯科専門医機構認定矯正歯科専門医
  • 歯の矯正・矯正治療
  • 歯列矯正
  • 矯正歯科
  • 矯正歯科専門医
  • 矯正歯科鎌倉 dentofaco
  • 鎌倉
  • 院長ブログ
「子どもの矯正治療/ミニマムアクチベータ治用術前のセファロ分析」

「子どもの矯正治療/ミニマムアクチベータ治用術前のセファロ分析」

カマクラデントフェイシャルオーソピディクス創案の取り外しが効くマウスピース型矯正装置ミニマムアクチベ…

詳しく読む
  • Uncategorized
  • アライナー矯正
  • インビザライン
  • カマクラデントフェイシャルオーソピディクス・山本歯科・矯正
  • セファロ
  • マウスピース型矯正治療
  • マウスピース矯正
  • 子どもの矯正治療
  • 小児矯正治療
  • 日本歯科専門医機構認定矯正歯科専門医
  • 歯の整形
  • 歯の矯正・矯正治療
  • 歯列矯正
  • 矯正歯科
  • 矯正歯科専門医
  • 矯正歯科鎌倉 dentofaco
  • 鎌倉
  • 院長ブログ
「子どもの矯正治療」

「子どもの矯正治療」

「当院で開発された取り外しの効く整形装置ミニマムアクチベータの作用機序」 カマクラデントフェイシャル…

詳しく読む
  • Uncategorized
  • アライナー矯正
  • インビザライン
  • カマクラデントフェイシャルオーソピディクス・山本歯科・矯正
  • セファロ
  • マウスピース型矯正治療
  • マウスピース矯正
  • 子どもの矯正治療
  • 小児矯正治療
  • 日本歯科専門医機構認定矯正歯科専門医
  • 歯の整形
  • 歯列矯正
  • 矯正歯科
  • 矯正歯科専門医
  • 矯正歯科鎌倉 dentofaco
  • 鎌倉
  • 院長ブログ
当院で創案された取り外しの効くマウスピース型整形装置=ミニマムアクチベータの歴史

当院で創案された取り外しの効くマウスピース型整形装置=ミニマムアクチベータの歴史

カマクラデントフェイシャルオーソピディクスにて創案発展してきた取り外しの効くマウスピース型矯正装置ミ…

詳しく読む
  • アライナー矯正
  • インビザライン
  • カマクラデントフェイシャルオーソピディクス・山本歯科・矯正
  • セファロ
  • マウスピース型矯正治療
  • 子どもの矯正治療
  • 小児矯正治療
  • 日本歯科専門医機構認定矯正歯科専門医
  • 歯の矯正・矯正治療
  • 歯列矯正
  • 矯正歯科
  • 矯正歯科専門医
  • 矯正歯科鎌倉 dentofaco
  • 鎌倉
  • 院長ブログ
「子どものための矯正治療」

「子どものための矯正治療」

「カマクラデントフェイシャルオーソピディクス院長の blog 」 当院で創案された取り外しの効くマウ…

詳しく読む
  • アライナー矯正
  • インビザライン
  • カマクラデントフェイシャルオーソピディクス・山本歯科・矯正
  • セファロ
  • マウスピース型矯正治療
  • マウスピース矯正
  • 子どもの矯正治療
  • 小児矯正治療
  • 日本歯科専門医機構認定矯正歯科専門医
  • 歯の整形
  • 歯列矯正
  • 矯正歯科
  • 矯正歯科専門医
  • 矯正歯科鎌倉 dentofaco
  • 鎌倉
  • 院長ブログ
「子どもの矯正治療」

「子どもの矯正治療」

「カマクラデントフェイシャルオーソピディクス院長の blog 」 「機構専門医の行う矯正治療」 当院…

詳しく読む
  • アライナー矯正
  • インビザライン
  • カマクラデントフェイシャルオーソピディクス・山本歯科・矯正
  • セファロ
  • 歯の矯正・矯正治療
  • 矯正歯科
  • 矯正歯科専門医
  • 矯正歯科鎌倉 dentofaco
  • 鎌倉
国家資格である日本歯科専門医機構認定矯正歯科専門医が責任を持ってあなたの心身の健康の維持を司らせていただきます

国家資格である日本歯科専門医機構認定矯正歯科専門医が責任を持ってあなたの心身の健康の維持を司らせていただきます

インビザラインを代表とするマウスピース矯正は ビジネスマンが行うビジネスです 一方で 日本歯科専門医…

詳しく読む