WEB
予約
電話
予約
トップへ戻る
         コラム一覧
  • アライナー矯正
  • インビザライン
  • カマクラデントフェイシャルオーソピディクス・山本歯科・矯正
  • セファロ
  • 歯の矯正・矯正治療
  • 矯正歯科
  • 矯正歯科専門医
  • 矯正歯科鎌倉 dentofaco
  • 鎌倉
矯正歯科専門医が行う医療である矯正治療対3Dプリンタでこしらえた食えない饅頭=マウスピース矯正

矯正歯科専門医が行う医療である矯正治療対3Dプリンタでこしらえた食えない饅頭=マウスピース矯正

絵に描いた餅も食えませんが・・・ 3Dプリンタで作ったおまんじゅうも食べることはできません 昨今大流…

詳しく読む
  • アライナー矯正
  • インビザライン
  • カマクラデントフェイシャルオーソピディクス・山本歯科・矯正
  • セファロ
  • セファロ
  • マウスピース型矯正治療
  • マウスピース矯正
  • 日本歯科専門医機構認定矯正歯科専門医
  • 歯の矯正・矯正治療
  • 歯列矯正
  • 歯列矯正
  • 矯正歯科
  • 矯正歯科専門医
  • 矯正歯科鎌倉 dentofaco
  • 鎌倉
厚労省から法的認定を受けている「日本歯科専門医機構専門医」と「歯科・矯正歯科」を徹底的に比べて見ようか?

厚労省から法的認定を受けている「日本歯科専門医機構専門医」と「歯科・矯正歯科」を徹底的に比べて見ようか?

「もうすぐ夏休み!」 それから 「なぜ日本歯科専門医機構認定矯正歯科専門医?」 表題の前々回・前回の…

詳しく読む
  • "やり直し矯正"
  • アライナー矯正
  • インビザライン
  • カマクラデントフェイシャルオーソピディクス・山本歯科・矯正
  • セファロ
  • セファロ
  • マウスピース型矯正治療
  • マウスピース矯正
  • 日本歯科専門医機構認定矯正歯科専門医
  • 歯の矯正・矯正治療
  • 歯列矯正
  • 歯列矯正
  • 矯正歯科
  • 矯正歯科専門医
  • 矯正歯科鎌倉 dentofaco
  • 鎌倉
なぜ日本歯科専門医機構認定矯正歯科専門医?

なぜ日本歯科専門医機構認定矯正歯科専門医?

厚労省が医療広告ガイドラインの法改正まで行なって 医院選択に資するとして新たに制定された矯正歯科専門…

詳しく読む
  • アライナー矯正
  • インビザライン
  • カマクラデントフェイシャルオーソピディクス・山本歯科・矯正
  • セファロ
  • セファロ
  • マウスピース矯正
  • 日本歯科専門医機構認定矯正歯科専門医
  • 歯の矯正・矯正治療
  • 歯列矯正
  • 歯列矯正
  • 矯正歯科
  • 矯正歯科専門医
  • 矯正歯科鎌倉 dentofaco
  • 鎌倉
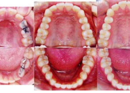
上顎前歯部に叢生(デコボコ)を伴う反対咬合・下顎前突症成人症例

上顎前歯部に叢生(デコボコ)を伴う反対咬合・下顎前突症成人症例

画像説明 : WA ①主訴 : 受け口 ②診断名あるいは主な症状 : 上顎前歯部に叢生(デコボコ)を…

詳しく読む
  • カマクラデントフェイシャルオーソピディクス・山本歯科・矯正
  • セファロ
  • セファロ
  • 日本歯科専門医機構認定矯正歯科専門医
  • 歯の矯正・矯正治療
  • 歯列矯正
  • 歯列矯正
  • 矯正歯科
  • 矯正歯科専門医
  • 矯正歯科鎌倉 dentofaco
  • 鎌倉
小児矯正治療の相談・資料採取・診断料が保険適用になりました

小児矯正治療の相談・資料採取・診断料が保険適用になりました

日本歯科専門医機構 認定矯正歯科専門医 山本一宏です 昨年令和6年9月13日 厚労省の医療広告ガイド…

詳しく読む
  • AAO=AmericanAssociationOf Orthodontists
  • アライナー矯正
  • インビザライン
  • カマクラデントフェイシャルオーソピディクス・山本歯科・矯正
  • セファロ
  • セファロ
  • マウスピース型矯正治療
  • マウスピース矯正
  • ムシ歯歯周病予防・予防歯科
  • 日本歯科専門医機構認定矯正歯科専門医
  • 歯の整形
  • 歯の矯正・矯正治療
  • 歯列矯正
  • 歯列矯正
  • 矯正歯科
  • 矯正歯科専門医
  • 矯正歯科鎌倉 dentofaco
  • 鎌倉
  • 顔の整形・顎顔面整形歯科
それでは矯正歯科専門医と一般歯科医の小児矯正治療のどこが違うのでしょうか?

それでは矯正歯科専門医と一般歯科医の小児矯正治療のどこが違うのでしょうか?

画像説明 : MY ①主訴 : 歯が出ている ②診断名あるいは主な症状 : 上顎前突症 ③年齢 : …

詳しく読む
  • アライナー矯正
  • インビザライン
  • カマクラデントフェイシャルオーソピディクス・山本歯科・矯正
  • セファロ
  • セファロ
  • マウスピース型矯正治療
  • マウスピース矯正
  • 日本歯科専門医機構認定矯正歯科専門医
  • 歯の矯正・矯正治療
  • 歯列矯正
  • 歯列矯正
  • 矯正歯科
  • 矯正歯科専門医
  • 矯正歯科鎌倉 dentofaco
  • 鎌倉
日本歯科専門医機構認定矯正歯科専門医が行う小児矯正2

日本歯科専門医機構認定矯正歯科専門医が行う小児矯正2

日本歯科専門医機構認定矯正歯科専門医が行う小児矯正についてシリーズでお伝え中の第二弾です 画像説明 …

詳しく読む
  • アライナー矯正
  • インビザライン
  • カマクラデントフェイシャルオーソピディクス・山本歯科・矯正
  • セファロ
  • セファロ
  • マウスピース型矯正治療
  • マウスピース矯正
  • 日本歯科専門医機構認定矯正歯科専門医
  • 歯の整形
  • 歯の矯正・矯正治療
  • 歯列矯正
  • 歯列矯正
  • 矯正歯科
  • 矯正歯科専門医
  • 矯正歯科鎌倉 dentofaco
  • 鎌倉
  • 顔の整形・顎顔面整形歯科
日本歯科専門医機構認定矯正歯科専門医が行う小児矯正

日本歯科専門医機構認定矯正歯科専門医が行う小児矯正

画像説明 : MY ①主訴 : 歯が出ている ②診断名あるいは主な症状 :  上顎前突症 ③年齢 :…

詳しく読む
  • アライナー矯正
  • インビザライン
  • カマクラデントフェイシャルオーソピディクス・山本歯科・矯正
  • セファロ
  • セファロ
  • マウスピース型矯正治療
  • マウスピース矯正
  • 日本歯科専門医機構認定矯正歯科専門医
  • 歯の整形
  • 歯の矯正・矯正治療
  • 歯列矯正
  • 歯列矯正
  • 矯正歯科
  • 矯正歯科専門医
  • 矯正歯科鎌倉 dentofaco
  • 鎌倉
矯正歯科が矯正歯科であった時から

矯正歯科が矯正歯科であった時から

サンビスタのカエターノ・ヴェローゾに サンバがサンバであった時から デジュキオ・サンバ・イ・サンバ …

詳しく読む