WEB
予約
電話
予約
トップへ戻る
         コラム一覧
  • アライナー矯正
  • インビザライン
  • カマクラデントフェイシャルオーソピディクス・山本歯科・矯正
  • コロナウイルス対策
  • セファロ
  • セファロ
  • マウスピース矯正
  • 歯の矯正・矯正治療
  • 歯列矯正
  • 歯列矯正
  • 矯正歯科
  • 矯正歯科専門医
  • 矯正歯科鎌倉 dentofaco
  • 鎌倉
  • 顔の整形・顎顔面整形歯科
“ひとの顔の美しさは前顔よりも横顔において現れしかもその下1/3が美の重要な決定要素である”

“ひとの顔の美しさは前顔よりも横顔において現れしかもその下1/3が美の重要な決定要素である”

"ひとの顔の美しさは前顔よりも横顔において現れしかもその下1/3が美の重要な決定要素である" htt…

詳しく読む
  • インビザライン
  • カマクラデントフェイシャルオーソピディクス・山本歯科・矯正
  • セファロ
  • セファロ
  • マウスピース矯正
  • 歯の矯正・矯正治療
  • 歯列矯正
  • 歯列矯正
  • 矯正歯科
  • 矯正歯科専門医
  • 矯正歯科鎌倉 dentofaco
  • 鎌倉
  • 顔の整形・顎顔面整形歯科
“美”・・・が女性にとっての最大の関心事であることは論を待たない

“美”・・・が女性にとっての最大の関心事であることは論を待たない

https://dentofaco.jp/ 「源流医療としてのオーラルケア=ダブハスな歯科医療」 こ…

詳しく読む
  • カマクラデントフェイシャルオーソピディクス・山本歯科・矯正
  • セファロ
  • セファロ
  • ムシ歯歯周病予防・予防歯科
  • 審美歯科・ホワイトニング・PMTC・3DS
  • 歯の矯正・矯正治療
  • 矯正歯科
  • 矯正歯科専門医
  • 矯正歯科鎌倉 dentofaco
  • 鎌倉
  • 顔の整形・顎顔面整形歯科
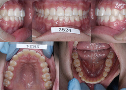
ひとはまだ本当の矯正治療を知らない!=矯正歯科鎌倉dentofaco 矯正歯科専門医による価値ある本当の矯正治療で改善可能な点22) 仕事がうまくゆくようになる

ひとはまだ本当の矯正治療を知らない!=矯正歯科鎌倉dentofaco 矯正歯科専門医による価値ある本当の矯正治療で改善可能な点22) 仕事がうまくゆくようになる

https://dentofaco.jp/ 「源流医療としてのオーラルケア=ダブハスな歯科医療」 こ…

詳しく読む
  • "やり直し矯正"
  • カマクラデントフェイシャルオーソピディクス・山本歯科・矯正
  • セファロ
  • セファロ
  • 歯の矯正・矯正治療
  • 矯正歯科専門医
  • 矯正歯科鎌倉 dentofaco
  • 鎌倉
  • 顔の整形・顎顔面整形歯科
「ひとはまだ本当の矯正治療を知らない!=矯正歯科鎌倉 dentofacoで矯正歯科専門医による価値ある本当の矯正治療で改善可能な点9) 姿勢が良くなる=整形外科的意義」

「ひとはまだ本当の矯正治療を知らない!=矯正歯科鎌倉 dentofacoで矯正歯科専門医による価値ある本当の矯正治療で改善可能な点9) 姿勢が良くなる=整形外科的意義」

https://dentofaco.jp/ “ 東京オリンピックに備えて日本人の歯に対する意識を向上…

詳しく読む
  • AAO=AmericanAssociationOf Orthodontists
  • カマクラデントフェイシャルオーソピディクス・山本歯科・矯正
  • 歯の矯正・矯正治療
  • 矯正歯科
  • 矯正歯科専門医
  • 顔の整形・顎顔面整形歯科
「現在アメリカ矯正界トップ=Dr. リー・グレーバーと矯正歯科専門医山本一宏」

「現在アメリカ矯正界トップ=Dr. リー・グレーバーと矯正歯科専門医山本一宏」

現在アメリカ矯正界トップ=Dr. リー・グレーバーは,私たち中後グループが和訳を担当した歯科矯正学の…

詳しく読む