|鎌倉駅徒歩2分の矯正歯科|カマクラデントフェイシャルオーソピディクス山本歯科・矯正

WEB
予約
電話
予約
トップへ戻る
         コラム一覧
  • AAO=AmericanAssociationOf Orthodontists
  • アライナー矯正
  • インビザライン
  • カマクラデントフェイシャルオーソピディクス・山本歯科・矯正
  • セファロ
  • セファロ
  • マウスピース型矯正治療
  • マウスピース矯正
  • ムシ歯歯周病予防・予防歯科
  • 日本歯科専門医機構認定矯正歯科専門医
  • 歯の整形
  • 歯の矯正・矯正治療
  • 歯列矯正
  • 歯列矯正
  • 矯正歯科
  • 矯正歯科専門医
  • 矯正歯科鎌倉 dentofaco
  • 鎌倉
  • 顔の整形・顎顔面整形歯科
それでは矯正歯科専門医と一般歯科医の小児矯正治療のどこが違うのでしょうか?

それでは矯正歯科専門医と一般歯科医の小児矯正治療のどこが違うのでしょうか?

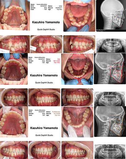
画像説明 : MY ①主訴 : 歯が出ている ②診断名あるいは主な症状 : 上顎前突症 ③年齢 : …

詳しく読む
  • アライナー矯正
  • インビザライン
  • カマクラデントフェイシャルオーソピディクス・山本歯科・矯正
  • セファロ
  • セファロ
  • マウスピース型矯正治療
  • マウスピース矯正
  • 日本歯科専門医機構認定矯正歯科専門医
  • 歯の矯正・矯正治療
  • 歯列矯正
  • 歯列矯正
  • 矯正歯科
  • 矯正歯科専門医
  • 矯正歯科鎌倉 dentofaco
  • 鎌倉
日本歯科専門医機構認定矯正歯科専門医が行う小児矯正2

日本歯科専門医機構認定矯正歯科専門医が行う小児矯正2

日本歯科専門医機構認定矯正歯科専門医が行う小児矯正についてシリーズでお伝え中の第二弾です 画像説明 …

詳しく読む
  • アライナー矯正
  • インビザライン
  • カマクラデントフェイシャルオーソピディクス・山本歯科・矯正
  • セファロ
  • セファロ
  • マウスピース型矯正治療
  • マウスピース矯正
  • 日本歯科専門医機構認定矯正歯科専門医
  • 歯の整形
  • 歯の矯正・矯正治療
  • 歯列矯正
  • 歯列矯正
  • 矯正歯科
  • 矯正歯科専門医
  • 矯正歯科鎌倉 dentofaco
  • 鎌倉
  • 顔の整形・顎顔面整形歯科
日本歯科専門医機構認定矯正歯科専門医が行う小児矯正

日本歯科専門医機構認定矯正歯科専門医が行う小児矯正

画像説明 : MY ①主訴 : 歯が出ている ②診断名あるいは主な症状 :  上顎前突症 ③年齢 :…

詳しく読む
  • "やり直し矯正"
  • アライナー矯正
  • インビザライン
  • カマクラデントフェイシャルオーソピディクス・山本歯科・矯正
  • セファロ
  • セファロ
  • マウスピース型矯正治療
  • マウスピース矯正
  • 日本歯科専門医機構認定矯正歯科専門医
  • 歯の矯正・矯正治療
  • 歯列矯正
  • 歯列矯正
  • 矯正歯科
  • 矯正歯科専門医
  • 矯正歯科鎌倉 dentofaco
  • 鎌倉
安心安全な矯正治療をうけるためには日本矯正歯科学会ウェブサイトに掲載の日本歯科専門医機構の名簿にオンリストされている矯正歯科専門医を受診すべき!・・・矯正歯科専門医からの警鐘

安心安全な矯正治療をうけるためには日本矯正歯科学会ウェブサイトに掲載の日本歯科専門医機構の名簿にオンリストされている矯正歯科専門医を受診すべき!・・・矯正歯科専門医からの警鐘

日本歯科専門医機構認定矯正歯科専門医名簿 DATA : 画像説明 : 上段矯正歯科専門医による矯正治…

詳しく読む
  • AAO=AmericanAssociationOf Orthodontists
  • アライナー矯正
  • インビザライン
  • カマクラデントフェイシャルオーソピディクス・山本歯科・矯正
  • セファロ
  • マウスピース型矯正治療
  • マウスピース矯正
  • 日本歯科専門医機構認定矯正歯科専門医
  • 歯の矯正・矯正治療
  • 歯列矯正
  • 歯列矯正
  • 矯正歯科
  • 矯正歯科専門医
  • 矯正歯科鎌倉 dentofaco
  • 鎌倉
  • 青木亥一郎博士
2025年新生カマクラデントフェイシャルオーソピディクスはこれらの先生方とインターディシプリナリに矯正歯科専門医として再始動開始します

2025年新生カマクラデントフェイシャルオーソピディクスはこれらの先生方とインターディシプリナリに矯正歯科専門医として再始動開始します

時計回りに同じ大宇の同窓で次期カマクラデントフェイシャルオーソピディクスを担ってゆく若くてイケメンで…

詳しく読む
  • アライナー矯正
  • インビザライン
  • カマクラデントフェイシャルオーソピディクス・山本歯科・矯正
  • コロナウイルス対策
  • セファロ
  • セファロ
  • マウスピース型矯正治療
  • マウスピース矯正
  • 歯の矯正・矯正治療
  • 歯列矯正
  • 歯列矯正
  • 矯正歯科
  • 矯正歯科専門医
  • 矯正歯科鎌倉 dentofaco
  • 鎌倉
矯正歯科専門医の認定について

矯正歯科専門医の認定について

日本歯科専門医機構から、日本矯正歯科学会に対して、かねてから申請していた矯正歯科専門医制度ならびにそ…

詳しく読む
  • "やり直し矯正"
  • アライナー矯正
  • インビザライン
  • カマクラデントフェイシャルオーソピディクス・山本歯科・矯正
  • セファロ
  • セファロ
  • マウスピース型矯正治療
  • マウスピース矯正
  • 歯の矯正・矯正治療
  • 歯列矯正
  • 歯列矯正
  • 矯正歯科
  • 矯正歯科専門医
  • 矯正歯科鎌倉 dentofaco
  • 鎌倉
矯正歯科専門医ができること1)歯釣り?

矯正歯科専門医ができること1)歯釣り?

画像説明 : 7032 O E ①主訴 : 埋まった歯を掘り出せないか? ②診断名あるいは主な症状 …

詳しく読む
  • AAO=AmericanAssociationOf Orthodontists
  • アライナー矯正
  • インビザライン
  • カマクラデントフェイシャルオーソピディクス・山本歯科・矯正
  • セファロ
  • マウスピース型矯正治療
  • マウスピース矯正
  • 歯の矯正・矯正治療
  • 歯列矯正
  • 矯正歯科
  • 矯正歯科専門医
  • 矯正歯科鎌倉 dentofaco
  • 鎌倉
インディアナ大セグメンテッド・アーチ・テクニックのアウトカム・・・東北大山本照子名誉教授による論文から

インディアナ大セグメンテッド・アーチ・テクニックのアウトカム・・・東北大山本照子名誉教授による論文から

当院を受診するメリット ・・・として旧ウェブサイトにて紹介させていただいた内容です   高…

詳しく読む
  • AAO=AmericanAssociationOf Orthodontists
  • アライナー矯正
  • インビザライン
  • カマクラデントフェイシャルオーソピディクス・山本歯科・矯正
  • セファロ
  • セファロ
  • マウスピース型矯正治療
  • マウスピース矯正
  • 歯の矯正・矯正治療
  • 歯列矯正
  • 歯列矯正
  • 矯正歯科
  • 矯正歯科専門医
  • 矯正歯科鎌倉 dentofaco
  • 鎌倉
当院で矯正歯科専門医がルーティーンに行っている矯正治療=MEMO法の紹介第2回目

当院で矯正歯科専門医がルーティーンに行っている矯正治療=MEMO法の紹介第2回目

前回の blog で紹介させていただいた 今回新潟での学会にお招きした ナンダ先生のテクニックと そ…

詳しく読む
  • AAO=AmericanAssociationOf Orthodontists
  • アライナー矯正
  • インビザライン
  • カマクラデントフェイシャルオーソピディクス・山本歯科・矯正
  • セファロ
  • セファロ
  • マウスピース型矯正治療
  • マウスピース矯正
  • 歯の矯正・矯正治療
  • 歯列矯正
  • 矯正歯科
  • 矯正歯科専門医
  • 矯正歯科鎌倉 dentofaco
  • 鎌倉
矯正歯科専門医が行うセグメンテッド・アーチ・テクニック

矯正歯科専門医が行うセグメンテッド・アーチ・テクニック

ナンダ先生の久しぶりの来日に合わせ 矯正歯科専門医による本格的な矯正治療について語ってゆきたいと思い…

詳しく読む